患者,女,30岁,不明原因出现便血,急诊就诊,血色素45g/L,予以输血,否认肝炎、肝硬化。超声提示:巨脾;腹部增强CT提示:上腔静脉血栓考虑,肝门显示不清,巨脾。胃镜提示:胃-十二指肠静脉曲张。
这是一个病史的简单汇报,不管是影像科医生还是临床医生,我们是否想到过CTPV(门静脉海绵样变性)的可能。为了一起学习这个病,借鉴海岱医学影像中心的PPT,共勉。
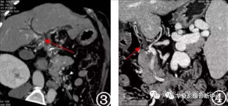
图1 门静脉主干及分支血栓伴侧枝血管建立
图2 门静脉血栓伴广泛侧枝循环建立

图3 门静脉血栓形成
图4 门静脉主干狭窄闭塞伴侧枝循环建立

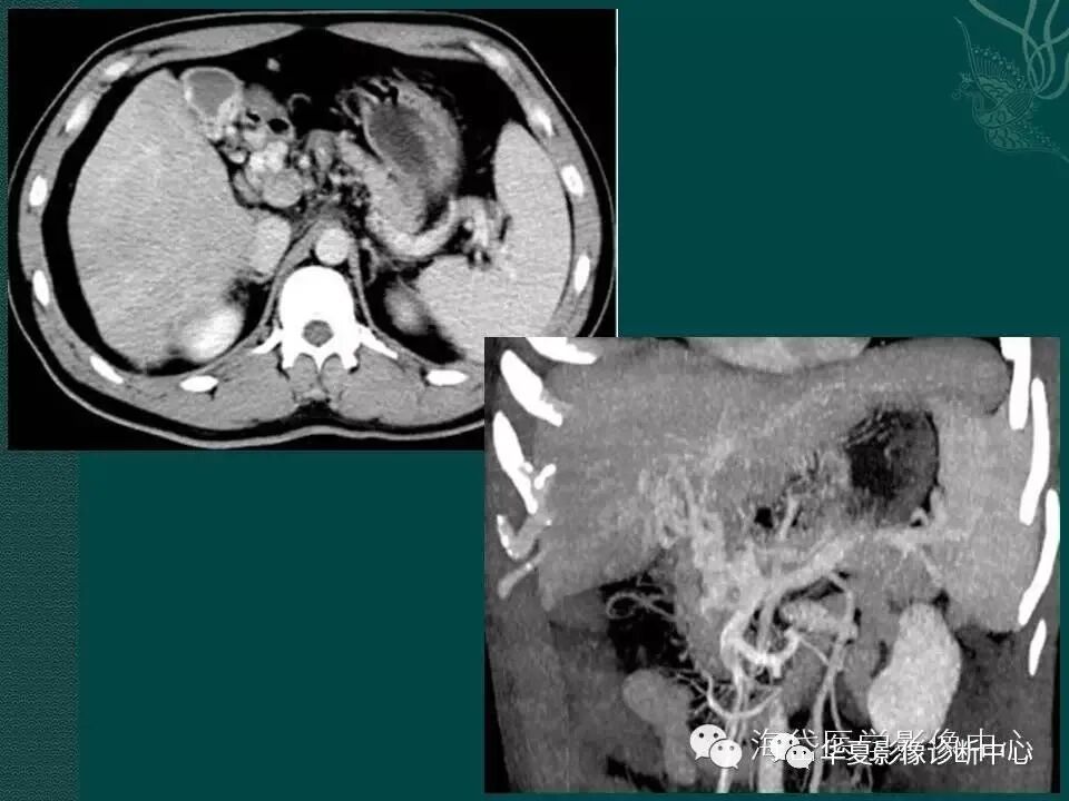
图5 门静脉主干狭窄闭塞伴侧枝循环
图6 门静脉主干狭窄闭塞伴侧枝循环,脾肾静脉交通胆囊静脉增粗形成假肿瘤征