Home
设为首页 | 添加收藏 | 联系我们    

全国统一电话:010-56159040
                         010-52403348

在线客服
首页
中心简介 业务类别 咨询形式 法律法规 新闻公告 专家风采 经典案例 招贤纳士 资费标准 联系我们 友情链接 工作流程 理论研究 在线答疑 资源共享
资源共享
资源共享
资源共享 您当前的位置:首页 > 资源共享
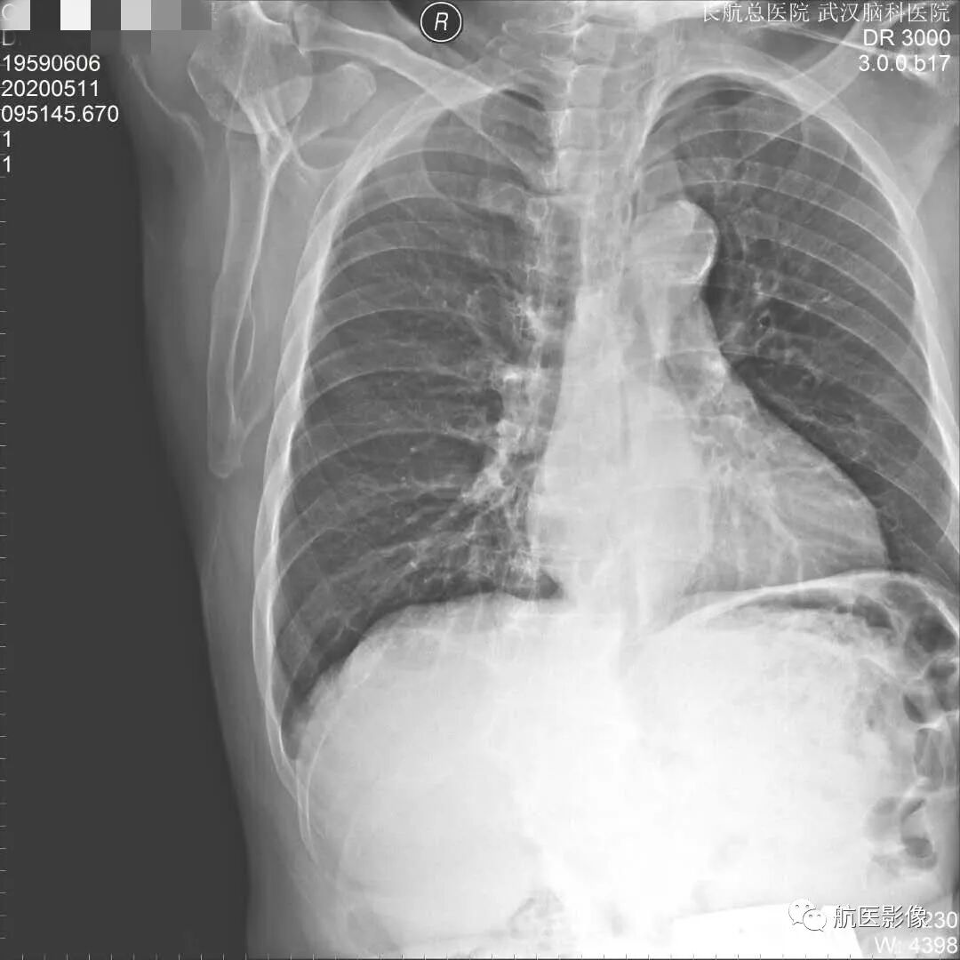
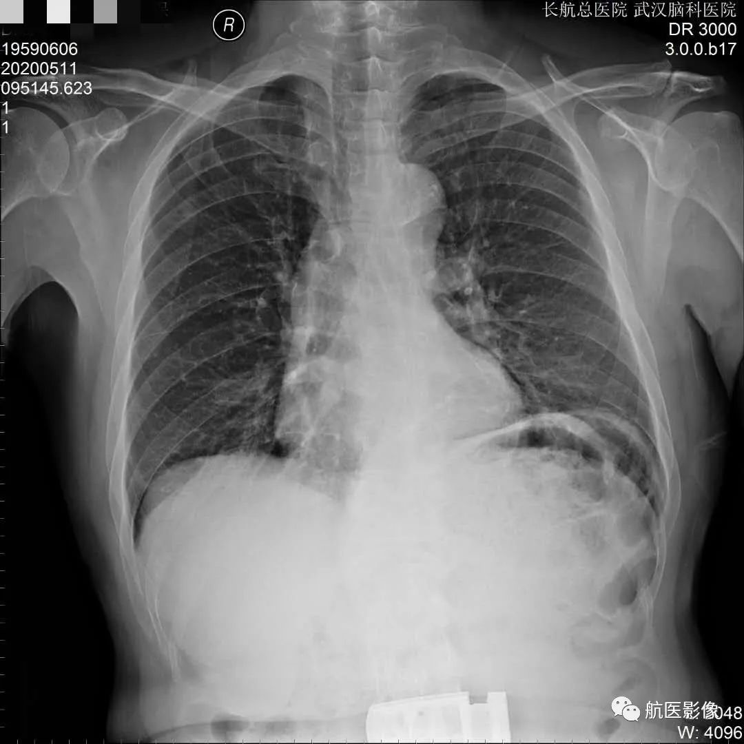
肋骨骨折为什么要用三维成像? 双侧肋骨共有12对,解剖形态不规则呈半弧形,由于肋骨解剖特点的复杂性,其走行的特殊性且环绕呈圆桶形,肋弓弯曲大,和前后多脏器互相重叠,故肋骨X摄片不易清楚显示细微
日期:2024/6/11       浏览次数:508

 肋骨骨折为什么要用三维成像?




双侧肋骨共有12对,解剖形态不规则呈半弧形,由于肋骨解剖特点的复杂性,其走行的特殊性且环绕呈圆桶形,肋弓弯曲大,和前后多脏器互相重叠,故肋骨X摄片不易清楚显示细微、无明显移位的肋骨骨折,而横断面CT限于连续性、定位性不佳,不易确定具体肋骨骨折根数,而三维成像可将全部肋骨完整立体再现,并且可进行旋转观察,定位效果好,对肋骨骨折的显示具有重要意义,肋骨骨折的根数、骨折的类型对法医学鉴定结果影响尤其重要。

图片
图片

多层螺旋CT具有快速连续的扫描方式和容积性数据采集的特点,并具有多角度、多平面重组的后处理功能,能任意角度地旋转观察损伤部位情况,识别细微的肋骨骨折;CT扫描横轴位可显示骨折,但不能显示骨折全程。

VR是通过容积数据时所有像素总合的图像显示,利用了所有扫描信息,是一种较高形式的重建方式,并能通过任意手工选择层面,任意方位进行切割和旋转,较为满意地显示出骨折线、移位,是一种对骨折后处理较常用的CT后处理技术。VR三维重建图像提供近似解剖结构的图像,定位准确,空间立体感强。MPR可行冠状、矢状和轴位重建图像,对胸部损伤行多剖面观察,可清楚显示断端周围软组织肿胀;能随时在VR、MPR、骨窗及肺窗间进行转换。

图片
图片

因此多层螺旋CT扫描及三维重建成像在诊断肋骨骨折方面比胸片具有明显优势,特别是靠近胸椎的胸肋关节处及无明显移位的骨折。请注意大多数肋骨骨折的原因是车祸及意外事故,其中很多都涉及到司法鉴定,能够准确诊断肋骨骨折及合并症就显得格外重要。对于急诊的胸部外伤,特别是复合伤患者,多层螺旋CT扫描及三维重建成像,能在极短时间内一次扫描完成,准确诊断肋骨骨折及合并症,可避免胸片检查中需变换体位而造成病情加重,为临床治疗赢得宝贵时间,同时也避免不必要的医疗纠纷。对于胸片怀疑骨折、涉及纠纷且胸片未见明确骨折、胸部外伤临床症状重者均需做多层螺旋CT扫描及三维重建成像,这能为患者提供准确的诊断及治疗,并保护患者的合法权利。 

多层螺旋CT扫描及三维重建成像能快速、准确地显示肋骨骨折及合并症,不仅大大减少骨折的误诊、漏诊,还可以为司法鉴定提供更加准确、可靠的客观资料;多层螺旋CT扫描及三维重建成像技术组合对肋骨骨折的诊断较常规的胸片提供更加丰富的影像信息,能显示肋骨骨折位置、形态、数量及合并症,在对肋骨骨折诊断中具有不可替代的优势。

安全联盟站长平台