Home
设为首页 | 添加收藏 | 联系我们    

全国统一电话:010-56159040
                         010-52403348

在线客服
首页
中心简介 业务类别 咨询形式 法律法规 新闻公告 专家风采 经典案例 招贤纳士 资费标准 联系我们 友情链接 工作流程 理论研究 在线答疑 资源共享
理论研究
理论研究
理论研究 您当前的位置:首页 > 理论研究
Caroli 病和 Caroli 综合征是罕见的常染色体隐性遗传病,先天性肝内胆管非阻塞性扩张; 发生于大胆管称Caroli病; 发生于小胆管称先天性纤维化; 大胆管和小胆管都发生称先天性纤维化
日期:2025/3/4       浏览次数:441

 

  • Caroli 病和 Caroli 综合征是罕见的常染色体隐性遗传病,先天性肝内胆管非阻塞性扩张;

  • 发生于大胆管称Caroli病;

  • 发生于小胆管称先天性纤维化;

  • 大胆管和小胆管都发生称先天性纤维化合并Caroli病


二、两种类型:

  • I 型或单纯性 Caroli 病:较大的肝内胆管囊性扩张

  • II 型 Caroli 病也称为 Caroli 综合征:小胆管扩张与先天性肝纤维化或肝硬化 、门静脉高压症的组合


三、影像表现;

1、特征表现

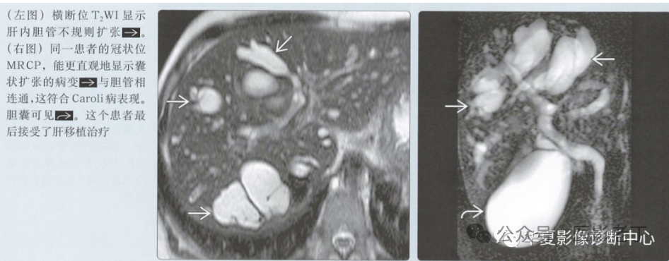
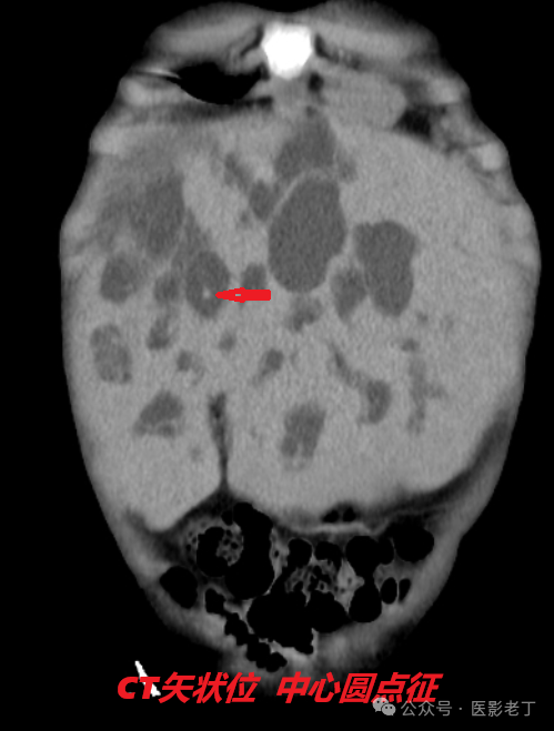
  • 肝内胆管呈阶段性扩张;沿肝内胆管走向发布;与胆管树相通;

  • 中心圆点征:增强CT上扩张的肝内胆管内可见小强化点(门静脉小分支);

2、MRCP、ERCP:

     确诊方法,MRCP清楚显示与胆管树相通,显示”悬挂“征;

3、肝活检是金标准。

图片
图片
图片


安全联盟站长平台