
图5-1 经嗅球的冠状断层MR T1加权图像
1 嗅束沟 olfactory sulcus 2 嗅球 olfactory bulb
3 内直肌 medial rectus 4 鼻中隔 nasal septum
5 下直肌 inferior rectus 6 下鼻道 inferior nasal meatus
7 下鼻甲 inferior nasal concha 8 上颌窦 maxilary sinus
9 筛窦 ethmoid sinus 10 视神经 optic nerve
11 嗅池 olfactory cistern 12 眶回 orbital gyrus
13 直回 gyrus rectus 14 额叶 frontal lobe
15 大脑镰 cerebral falx
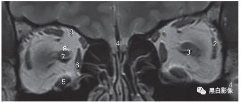
图5-2 经视神经的冠状断层MR T2加权图像
1 眼动脉 ophthalmic artery 2 外直肌 lateral rectus
3 视神经鞘 sheath of the optic nerve
4 筛骨鸡冠 crista galli of ethmoid bone
5 下直肌 inferior rectus 6 内直肌 medial rectus
7 蛛网膜下隙 subarachnoid space 8 视神经 optic nerve
9 眼上静脉 superior ophthalmic vein
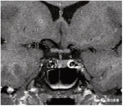
图5-3 经视交叉和垂体柄的冠状断层MR T1加权图像
1 尾状核 caudate nucleus 2 岛叶 insular lobe
3 视交叉 optic chiasma 4 动眼神经 oculomotor nerve
5 颈内动脉 internal carotid artery 6 侧副沟 collateral sulcus
7 颈内动脉 internal carotid artery 8 垂体 hypophysis
9 垂体柄 manubrium of hypophysis
10 大脑中动脉 middle cerebral artery 11 壳 putamen
12 内囊前肢anterior limb of internal capsule
13 透明隔 septum pellucidum
14 胼胝体干 trunk of corpus callosum
图5-4 经大脑后动脉的3D-SPACE序列冠状断层MR图像
1 外侧沟 lateral sulcus 2 背侧丘脑 dorsal thalamus
3 海马 hippocampus 4 侧副沟 collateral sulcus
5 颈内动脉 internal carotid artery
6 枕颞内侧回 medial occipitotemporal gyrus
7 岛叶 insular lobe 8 第三脑室 third ventricle
9 脑桥 pons
10 大脑后动脉 posterior cerebral artery 11 基底动脉 basilar artery
12 动眼神经 oculomotor nerve
图5-5 经前髓帆的3D-CISS序列横断层MR图像
1 脚间窝 interpeduncular fossa
2 小脑上动脉 superior cerebellar artery 3 第四脑室 fourth ventricle
4 滑车神经 trochlear nerve 5 大脑脚 cerebral peduncle
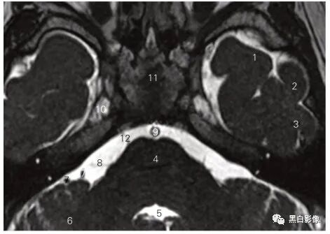
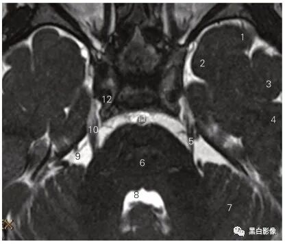
图5-6 经三叉神经的横断层MR T2加权图像
1 颞上回 superior temporal gyrus 2 杏仁体 amygdaloid body
3 颞中回 middle temporal gyrus 4 颞下回 inferior temporal gyrus
5 三叉神经 trigeminal nerve 6 脑桥 pons
7 小脑半球 cerebellar hemisphere 8 第四脑室 fourth ventricle
9 脑桥小脑角池 cistern of pontocerebellar trigone
10 三叉神经节 trigeminal ganglion 11 基底动脉 basilar artery
12 动眼神经 oculomotor nerve
图5-7 经展神经的3D-SPACE序列横断层MR图像
1 颞上回 superior temporal gyrus 2 颞中回 middle temporal gyrus
3 颞下回 inferior temporal gyrus 4 脑桥 pons
5 第四脑室 fourth ventricle 6 小脑半球 cerebellar hemisphere
7 面神经和前庭蜗神经 facial and vestibulocochlear nerves
8 脑桥小脑角池 cistern of pontocerebellar trigone
9 基底动脉 basilar artery 10 三叉神经节 trigeminal ganglion
11 枕骨基底部 basilar part of occipital bone
12 展神经 abducent nerve
图5-8 经展神经、面神经和前庭蜗神经的3D-SPACE序列横断层MR图像
1 蝶骨 sphenoid bone 2 基底动脉 basilar artery
3 桥池 pontine cistern
4 面神经和前庭窝神经 facial and vestibulocochlear nerves
5 脑桥 pons 6 第四脑室 fourth ventricle
7 脑桥小脑角池 cistern of pontocerebellar trigone
8 颞骨岩部 petrous part of temporal bone
9 展神经 abducent nerve 10 三叉神经节 trigeminal ganglion
11 颞叶 temporal lobe
图5-9 经面神经和前庭蜗神经的3D-SPACE序列横断层MR图像
1 颈内动脉和海绵窦 internal carotid artery and cavernous sinus
2 基底动脉 basilar artery 3 展神经 abducent nearve
4 耳蜗 cochlea 5 脑桥 pons
6 第四脑室 fourth ventricle 7 小脑扁桃体 tonsil of cerebelum
8 小脑半球 cerebellar hemisphere 9 小脑绒球 flocculus cerebelli
10 前庭蜗神经 vestibulocochlear nerve 11 面神经 facial nerve
12 脑桥小脑角池 cistern of cerebellopontine angle
13 颞叶 temporal lobe
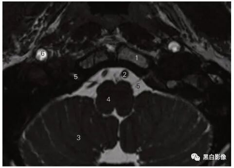
图5-10 经舌咽神经的3D-CISS序列横断层MR图像
1 颈动脉管和颈内动脉 carotid canal and internal carotid artery
2 舌咽神经 glossopharyngeal nerve 3 延髓 medulla oblongata
4 小脑 cerebellum 5 延池 medulla oblongata cistern
6 颈静脉孔 jugular foramen 7 基底动脉 basilar artery
8 枕骨基底部 basilar part of occipital bone
图5-11 经舌咽神经、迷走神经和副神经的3D-CISS序列斜冠状断层MR图像
1 脑干 brain stem
2 舌咽神经、迷走神经和副神经 glossopharyngeal, vagus and accessory nerves
3 颈静脉孔 jugular foramen 4 小脑 cerebellum
图5-12 经舌下神经的3D-CISS序列横断层MR图像
1 枕骨基底部 basilar part of occipital bone 2 椎动脉 vertebral artery
3 小脑 cerebellum 4 延髓 medulla oblongata
5 舌下神经管及舌下神经 hypoglossal canal and nerve
6 颈内动脉 internal carotid artery |