Home
设为首页 | 添加收藏 | 联系我们    

全国统一电话:010-56159040
                         010-52403348

在线客服
首页
中心简介 业务类别 咨询形式 法律法规 新闻公告 专家风采 经典案例 招贤纳士 资费标准 联系我们 友情链接 工作流程 理论研究 在线答疑 资源共享
资源共享
资源共享
资源共享 您当前的位置:首页 > 资源共享
MRI断层解剖(膝关节)
日期:2025/3/12       浏览次数:385

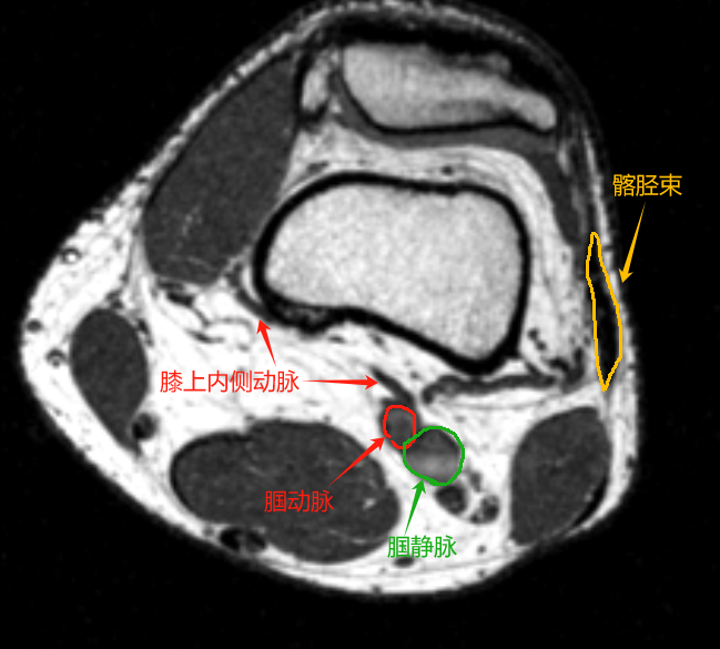
 MRI断层解剖(膝关节)轴位为水平切面,从股骨远端至胫骨近端,重点显示以下结构:

  1. 骨骼

    • 股骨髁:后部圆形膨大,分为内侧髁(较大)和外侧髁(较小),关节面覆盖高信号的透明软骨。

    • 胫骨平台:呈浅凹状,与股骨髁形成关节,边缘可见低信号的半月板。

    • 髌骨:位于前方,呈三角形,后方关节面与股骨滑车沟形成髌股关节

  2. 半月板

    • 内侧半月板:C形,边缘与关节囊相连;

    • 外侧半月板:O形,后角与腘肌腱相邻。

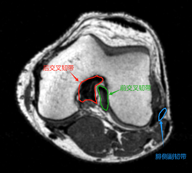
    1. 韧带与肌腱

      • 前交叉韧带(ACL):外侧髁间嵴至股骨外侧髁内侧面,轴位呈束状低信号。

      • 后交叉韧带(PCL):胫骨后方至股骨内侧髁,轴位为卵圆形低信号结构。

      • 内侧副韧带(MCL):分浅深两层,浅层为条带状低信号,深层与关节囊融合。

      • 外侧副韧带(LCL):条索状低信号,连接股骨外上髁与腓骨头。

      • 髌腱:髌骨下极延伸至胫骨结节,呈低信号带。

    2. 其他结构

      • 髌下脂肪垫(Hoffa脂肪垫):髌腱后方的高信号脂肪组织。

      • 滑膜皱襞:如内侧滑膜皱襞,轴位可见线状中等信号。




图片
图片
图片
图片

矢状位为侧面观,从前向后分层,关键结构包括:

  1. 交叉韧带

    • ACL:自胫骨髁间嵴前部斜向后外上方,矢状位呈带状低信号,正常为平行双束(前内侧束与后外侧束)。

    • PCL:胫骨后方至股骨内侧髁,矢状位呈弓形低信号,较ACL粗大,易全程显示。

  2. 半月板

    • 前角与后角:内侧半月板后角较大,外侧半月板前角较小。矢状位呈“领结”状(体部)或三角形(前后角),撕裂时可见高信号延伸至表面。

  3. 肌腱与关节软骨

    • 股四头肌肌腱:髌骨上极延续为低信号条带,与髌骨软骨(中等信号)相连。

    • 髌腱:矢状位显示全长,厚度均匀,止于胫骨结节。

    • 关节软骨:股骨髁及胫骨平台表面中等信号,软骨缺损表现为局部变薄或信号异常。

  4. 其他结构

    • 腘肌腱:外侧半月板后角旁的低信号束,走行于腘肌裂孔。

    • 髌下脂肪垫:位于髌腱后方,炎症时信号增高。

安全联盟站长平台